500 bin liralık ameliyatı 1 kuruş vermeden oldu

Samsun Eğitim ve Araştırma Hastanesi'nde ilk defa 10 yaşındaki bir çocuğa skolyoz (omurga eğriliği) ameliyatı yapıldı. Özel hastanelerde 300-500 bin TL arasında yapılan bu ameliyat kamu hastanesinde ücret alınmadan başarılı bir şekilde gerçekleştirildi.

  • 182

Samsun Eğitim ve Araştırma Hastanesi’nde ilk defa 10 yaşındaki bir çocuğa skolyoz (omurga eğriliği) ameliyatı yapıldı. Özel hastanelerde 300-500 bin TL arasında yapılan bu ameliyat kamu hastanesinde ücret alınmadan başarılı bir şekilde gerçekleştirildi.

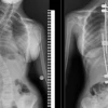
Samsun’un Bafra ilçesinde yaşayan 10 yaşındaki Zümra Demircioğlu bel ve sırt bölgesinde aşırı ağrı ve günlük aktivitelerini yapmakta zorlanma şikayetleri nedenleriyle Samsun Eğitim ve Araştırma Hastanesi’ne başvurdu. Burada çekilen röntgen ve yapılan tetkikler sonucunda 75 derece omurga eğriliği tespit edilen minik Zümra için ameliyat kararı verildi. Büyüme koruyucu sisteminin uygulandığı ameliyatta minik Zümra’nın omurgası düzeltildi. Özel hastanelerde ortalama 300 ile 500 bin TL arasında yapıldığı öğrenilen bu ameliyat artık Samsun Eğitim ve Araştırma Hastanesi’nde ücretsiz olarak gerçekleştiriliyor.

"Erken başlangıçlı omurga eğriliği ameliyatını başarılıyla gerçekleştirdik"

Ameliyatı gerçekleştiren ve ailelere önerilerde bulunan Ortopedi ve Travmatoloji Uzmanı Dr. Öğr. Üyesi Ömer Bozduman, "Küçük çocuklarda omurga eğriliğinin nedeni doğumsaldır. 5 yaşından sonra kendini gösterir. Sendromik ya da metabolik hastalıklar olduğu gibi bazen de nedeni bilinmeyen omurga eğrilikleri 10 yaşından önce kendini gösterebilir. Bunlar kendilerini şu şekilde gösterir: Omurgalarda eğrilik bir asimetrik oluşturabilir. Ciltlerinde bir kıllanma veya renk değişi olabilir. Anormal kol ve bacak boyutları, asimetrik kalça dengesi, gövde balansının bozulması, gövde ile bacaklar arasında uyumsuzluğun olması ya da çocuklar öne eğildiği zaman kamburun bir tarafta daha fazla çıkması gibi kendini gösterir. Bu durumları baktığımızda omurga eğrilik röntgenlerini çektiğimiz zaman omurgalarında oluşan eğriliğin derecesine göre bir tedavi şeması istiyoruz. Bu sene skolyoz ameliyatlarını başlatmıştık. İlk erken başlangıçlı omurga eğriliği ameliyatını başarılıyla gerçekleştirdik" dedi.

"Devletimizin imkanlarıyla bu hizmeti ücretsiz olarak veriyoruz"

Ameliyat hakkında bilgi veren Dr. Ömer Bozduman, "Bu gibi durumlarda uzayan rot dediğimiz bir sistem uyguluyoruz. Bunun nedeni çocukları yaşı küçük olduğu için füzyon dediğimiz kaynatma ameliyatı yaparsak akciğerlerinde yetersiz gelişme, göğüs kafeslerinde yetersiz gelişme ve kanallarında yetersiz gelişme oluşabileceği için büyüme koruyucu cerrahi yapıyoruz. Büyüme koruyucu cerrahinin diğer füzyon cerrahisinden alternatifi şudur: Düzenli aralıklarla düzeltme yapıyoruz. Çocuk büyüdükçe biz de bu sistem anestezi altında ya da anestezisiz olarak uzatarak çocuğun yeterli omurga büyüklüğüne ulaştıktan sonra yeterli kalıcı ameliyatı gerçekleştiriyoruz. Anestezi hocamız Doç. Dr. Serkan Turgal yardımı ile bu ameliyatı başarıyla gerçekleştirdik. 10 yaşındaki hastamıza büyüme koruyucu sistemi yerleştirdik. Düzenli aralıklarla uzatmalarını yapacağız. Nihai ameliyatını omurgası büyüdükten sonra gerçekleştireceğiz. Eğitim ve Araştırma Hastanesi olarak bir ilki gerçekleştirdik. Hastamız gayet iyidir. Birinci günün kalkıp yürüdü. Dördün gün sonra taburcu ettik. Herhangi bir nörolojik veya başka bir sorunla karşılaşmadık. İhtiyacı olan tüm hastalarımıza Samsun Eğitim ve Araştırma Hastanesi olarak devletimizin imkanlarıyla bu hizmeti ücretsiz olarak veriyoruz. Aileler bu semptomlar hakkında dikkatli olmalıdır. En ufak şüphede polikliniklerimize bekliyoruz. Bizler yardımcı olacağız" diye konuştu.

Bakmadan Geçme

Haber Platosu - Bizi Sosyal Medyada Takip Edin!